福岡市南区弥永の歯医者さんなら

〒811-1323 福岡県福岡市南区弥永1丁目31番13号

診療時間
9:00~12:30

14:00~18:30

:13:30まで

休診日:日曜・祝日と、木曜・土曜の午後

最終受付:初診の方17:30、再診の方17:45

ご予約・お問合せはこちらへ

092-502-3534

ホワイトニング症例

ホワイトニング

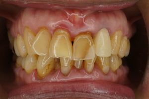
H29.3 31歳女性 

全体の黄ばみが強く、基本コース3回 + 追加2回 計5回施術

ホワイトニング前

ホワイトニング後

H29.3 25歳女性

ホワイトニング前

グラデーションがかった色味

歯の根元は白く、中心は黄ばみが強く、先の方は黒ずんで見える

ホワイトニング後

3回施術後・・・

グラデーションも目立たなくなり、自然な白さになりました!

H29.2 ホワイトニング + 審美補綴

40代女性

ホワイトニング前

この患者様は歯の黄ばみと、上前歯の開きが気になるとのことで来院されました。まずは、ホワイトニングにて全体の黄ばみを取ることに!

ホワイトニング後

黄ばみが強かったため、なかなか白くなりにくく…基本コース3回 + 追加2回 

計5回施術後の写真です。

補綴治療途中

ホワイトニング後…

左上の前歯2本を新たに被せ物にすることで、色と歯並びを改善することにしました。

仮歯の状態の写真です。

仮歯で向きや形を相談します。

補綴完了後

完成品の被せ物(自費ジルコニア)をセットした後です。ホワイトニング前、①の写真と比較してみて下さい!

全体の黄ばみが取れ、歯並びも改善されました。ご本人もとても喜んでおられました(^^♪

 

H29.1 ホワイトニング 差し歯との色合わせ

50代男性

ホワイトニング前

この患者様は左上前歯の差し歯だけが白く目立つので、他を全体白くして色を合わせたいと来院されました。

ホワイトニング後 →→→ 詰め物のやりかえ

計6回の施術にてかなり白くなりました。(写真 左)

更に、以前から詰めてある粘土(根本や歯と歯の間)を色を合わせてやりかえたことで、全体が均一に白く見えるようになりました。(写真 右)

回数について…

基本3回コースです。

1回目と3回目の際に、写真撮影をし前後で比較します。

効果には個人差があり、もともとの黄ばみが強い方など白くなりにくい方は追加での施術となります。多い方で、上記の患者様のように計6回される方もいらっしゃいます。

H28.8 ホワイトニング+差し歯

20代女性

ホワイトニング前
シェード(A4)

全体的な黄ばみが気になり、ホワイトニングをご希望されました。

ホワイトニング後
シェード(B1)

ホワイトニング3回施術後...

詰め物や被せ物といった人工物にはホワイトニング効果がない為、上差し歯3本の黄ばみが目立ちます。そこで、白くなったご自身の歯の色に合わせて差し歯をやり替えることをおすすめしました。

差し歯やり替え後
 

差し歯をやり替えたことで、全体の色のバランスがとれ、より白く見えますね。患者さまにもとても喜んで頂きました。

人工物の変色が気になってる方も、まずはお気軽にご相談ください。

H28.6 ホワイトニング

20代女性

ホワイトニング前
シェード(A-root)

スタッフからのコメント

この患者さまは全体の黄ばみが強く、”芸能人みたいにとにかく歯を白くしたい!”とのご希望でした。

3回施術後
シェード(B2)

5回施術後
シェード(B1)

スタッフからのコメント

当院でのホワイトニングは、基本3回コースです。ほとんどの方が3回で満足いただける白さになります。

3回施術後の結果で、更に白くしたいとご希望の方は満足いただけるまで追加で施術します。この患者さまは追加で2回…計5回の施術でかなり白くなりました。

元々の黄ばみの強さや、色のタイプによって白くなりにくい方には予め3回以上施術した方がよいとお伝えすることもあります。

シェードガイド
(色合わせの基準となる道具)

ホワイトニング前後で、シェードガイドを用いて色を確認し写真撮影を行います。

当院ではタブレットを活用し、ホワイトニング終了時には前後の比較写真をお見せしています。

写真で見ると、変化がとても分かりやすく患者さまにも喜んでいただけてます。最近ではタブレット画面の比較写真をスマホで写真を撮って帰られる方も増えていますよ!

H28.5 ホワイトニング+充填

10代女性

ホワイトニング前

スタッフからのコメント

この患者さまは全体の歯の黄ばみに加え、左上前歯の変色が特に気になるということで来院されました。

ホワイトニング後⇒⇒⇒詰め物やり替え

スタッフからのコメント

このようにホワイトニングで全体的に白くなった後に、左上前歯の変色が目立ったので粘土(詰め物)のやり替えまで行いました。

粘土のやり替えは1本1500円程で出来ます。ホワイトニング後に目立つ場合は粘土のやり替えまで行うと、より白さが際立ちおすすめです。気になる方はお気軽にご相談ください。

H26.7 ホワイトニング

この患者さんは、右上前歯の変色が気になって来院されました。右上1本は差し歯にしていく予定で、左上1本は粘土でやり替えていくことになりました。ただ、前歯をきれいにしていく前に、ホワイトニングを勧めました。理由は全体的に黄色いのに前歯を合わすより、ホワイトニングで白く、綺麗になった状態に合わせた方がいいからです。ご本人さんに提案して、納得して頂いてから、仮歯をつくっりながら、ホワイトニングを3回した後の写真が右端の写真です。ものすごく白くなっていて、ご本人さんも大満足です。どれくらい色が変わったかというと、真ん中の写真を見れば一目瞭然ですよね。当院では、ホワイトニングをする前に、自分の歯がどの色なのかシェードガイド(真ん中の図の色合わせの道具)を使ってご本人さんに確認していただきます。そして、3回終わった後にどれくらい白くなったかを最初に合わせた色と確認していただくようにしています。右の写真は変色していた歯が最終的な被せ物になった後の写真です。職場のみんなに歯が白くきれいになったと言われたと、連絡があり、こちらも大変喜んでいます。

H25.8  ホワイトニング 

ホワイトニング前

H25.3 kai whitening前.jpg

ホワイトニング後

H25.3 kai whitening後2.jpg

H26.9  ホワイトニング

H24 white no mae.jpg
H24 white no ato.jpg

当院では計3回 合計14850円で ホワイトニングの施術をお勧めしています。

H24 審美治療 ホワイトニング+充填 症例1

歯を綺麗にしたいとのことで来院。まずは ホワイトニングを3回行いました。

ホワイトニング3回終了時点での状態です。かなり白くなっています。

この白さに合わせて、虫歯の治療と以前詰めてある粘土の詰め替えを行いました

詰め物完成時の写真です。

当院でのホワイトニングについて

ホワイトニングについて
当院でのホワイトニングについて説明します。

  1. 病院で行うホワイトニング(オフィスホワイトニング)
    • 時間:1回約30分〜40分
    • 回数:3回
    • 費用:1回4950円(税込)
      詳細はこちらへ
       
  2. 自宅で行うホワイトニング(ホームホワイトニング)
     
  3. 当院でのホワイトニングの症例  ⇒ ここから
     
  4. 質問、疑問⇒こちらから

H23年度 当院のベストホワイトニング

H23 ホワイトニング 前 ベスト.jpg
H23 ホワイトニング 後 ベスト.jpg

上の写真は 当院で去年 たくさんホワイトニングをされた方の中で、一番白くなった方の症例です。本当に喜ばれていたのが印象に残っています。歯を白くすることによって、この状態を維持しようとして、歯磨きを頑張ったり、定期的な検診を続けていくことが大切です^^

症例(ホワイトニング)

症例1

左の上下3番目の黄色い歯がきになるために、ホワイトニングを行いました。

white1-nanasi.jpg
whit-3nanasi.jpg
症例2

70歳の男性の方です。

ホワイトニング+歯の根元につめ物も行いました。

white1nennpai.jpg
white2nennpai.jpg
症例3
white1yukie.jpg
white2yukie.jpg

ホワイトニングの実際

院内でのホワイトニングの流れを説明します。

清掃

ホワイトニングを行う部分を清掃します。(2〜3分)

撮影

最初に写真を撮ります。(1分)

ホワイトニング剤の塗布

ホワイトニング剤を歯面に塗布し、光で照射します(6〜8分)
これを3回繰り返します

撮影&清掃

最後に写真を撮り&表面を清掃します。(2〜3分)

1~4を3回来院して行います。

当院で行っているMIホワイトニングの特徴としては

  1. 時間が比較的短い
  2. しみにくい
  3. 意外と安価である

という点だと思います

よくある質問(ホワイトニング編)

ホワイトニングをしてはいけない人っているのですか?

絶対してはいけない方がいます。

  • 無カタラーゼ症の方
    (ホワイトニング剤に含まれる過酸化水素を分解できないため)
  • 16歳以下の方 

ホワイトニングで必ず白くなるの?

ホワイトニングの効果は材料や方法によって異なります。

当院のMIホワイトニングというやりかたでは、9割以上の方が白くなって満足されています。今まで100人以上(H26.10月現在)しておりますが、2人ほど白くならなかった方がいらっしゃいます。

ホワイトニングで白くなった歯は永久に白いの?

一生白いままではないです。

  個人差にもよりますが、少しづつ後戻りがおきてきます。(早い人では半年後から)そのため、定期的な検診時に一緒にホワイトニングを行ったり、家で自分で行うホームホワイトニングなどを行ったりして白さを維持していくのがいいかと思います。

H25 ホワイトニング 症例1 とう歯科

施工前

satou whitening.jpg

施工後

satou whitening2.jpg

検診・歯石取り・歯のクリーニング・フッ素塗布などもご予約いただけます。3ヶ月先のご予約もお気軽にどうぞ。

092-502-3534

診療時間

 
午前
午後

午前 9:00~12:30
午後 14:00~18:30
:13:30まで

休診日:日曜・祝日

092-502-3534

〒811-1323
福岡県福岡市南区弥永1-31-13
弥永団地バス停より徒歩1分

とう歯科クリニックでは一緒に働いてくださる仲間を募集中です!