福岡市南区弥永の歯医者さんなら

〒811-1323 福岡県福岡市南区弥永1丁目31番13号

診療時間
9:00~12:30

14:00~18:30

:13:30まで

休診日:日曜・祝日と、木曜・土曜の午後

最終受付:初診の方17:30、再診の方17:45

ご予約・お問合せはこちらへ

092-502-3534

ホワイトニング 那珂川

 (平成30年度 ホワイトニング効果)

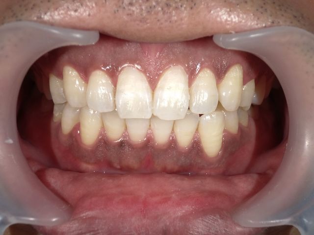
H30.1月 20歳女性

ホワイトニング前

(シェード B4)

 

ホワイトニング後

計3回終了後

(シェード B1)

(平成29年度 ホワイトニング効果)

H29.12月 30歳女性

ホワイトニング前

(シェード A4)

~よくあるご質問~

Q.ホワイトニング後、次の施術まではどのくらいあけたらいいの?

A.初めの3回は、基本的に週1回のペースで施術します。但し、お急ぎの予定がある方はご相談下さい。最低2日あけていただけば大丈夫です。

ホワイトニング後

計3回終了後

(シェード B2)

ホワイトニング終了後は…

色の後戻りがありますので、4ヶ月~半年を目途に再度ホワイトニングを1回ずつしていただくことで白さを維持できます!

H29.11月 26歳女性

ホワイトニング前

(シェード A3.5)

~よくあるご質問~

Q.ホワイトニング後は、しばらく食事できないの?

A.何点か注意していただければ、お食事はすぐにできます!

注意事項→→→→→

ホワイトニング後

計3回後

(シェード B1~B2)

ホワイトニング後の注意事項

術後、24時間以内は...

①しみ予防のため、冷たいもの・熱いもの・炭酸飲料は極力控えて下さい。

②効果を高めるため、色が濃い飲食物は極力控えて下さい。(カレー コーヒー 紅茶 赤ワイン etc...)

H29.10月 23歳男性

ホワイトニング前

(シェード A3.5)

ホワイトニング後

計3回終了後

(シェード A1)

H29.10月 30歳女性

ホワイトニング前

(シェード A4)

ホワイトニング後

〘写真:左〙3回終了時 (シェード A2)

〖写真:右〗5回終了時 (シェード A1)

H29.9月 26歳女性

ホワイトニング前

(シェード A4)

ホワイトニング後

計3回後

(シェード B2)

H29.9月 32歳女性

ホワイトニング前

(シェード A4)

ホワイトニング後

計3回後

(シェード A1)

H29.8月 27歳男性

ホワイトニング前

下前歯の根元が黄色く所どころ黒ずんで見えますが...これは歯石です。ホワイトニング前に、まずは保険でスケーリング(歯石取り)を行いました。

スタッフからのコメント

歯石がついてることで黄ばみが強く見えることもあります。また、歯石がついたままホワイトニングをしても効果が軽減するため、この方の様に歯石が目立つ方にはスケーリングも同時にお勧めしています。

スケーリング + ホワイトニング後

ホワイトニング計3回

シェード A4 → B2

スタッフからのコメント

ホワイトニング終了後は、個人差はありますが色の後戻りがあります。4ヶ月~半年を目処に再度ホワイトニングを1回ずつしていくことで、白さを維持できます。歯石もつきやすい人だと、2~3ヶ月で再付着してきます。どちらも定期的なメンテナンスをお勧めします(^^)/

H29.7月 35歳男性

ホワイトニング前

全体、特に根元の黄ばみが強い

(シェード B4)

スタッフからのコメント

最近では、男性の方でもホワイトニングされる方が増えてきています!

ホワイトニング後

ホワイトニング 計3回後

(シェード B2)

この方は、黄ばみが取れたことに驚かれ…

更に白くしたいと追加で2回施術されました。追加後は、シェード B2 → B1まで白くなりとても満足されていました(^-^)

↓追加2回後↓

H29.7月 30歳女性

ホワイトニング前

表面の黄ばみに加え、歯石がついているため歯と歯の間が特に黄ばみが強く(茶色)見える。この方は、並行して保険でスケーリング(歯石取り)も行いました。

(シェード A‐root)

ホワイトニング後

ホワイトニング計3回 + スケーリング後

別人の様に見違える!...

と、とても満足していただきました(^^)v

(シェード A2)

スタッフからのコメント

スケーリングは保険3割負担の場合、上下1回でおよそ3000円前後です。

H29.6月 71歳男性

ホワイトニング前

歯の根元の黄ばみが気になるとのことで、ホワイトニング後に根元は白い詰め物(粘土)で色合わせをすることにしました。

ホワイトニング後 + 詰め物

ホワイトニング計3回後…

左:上の歯の根元に詰め物をしたあと

右 : 更に下の根元に詰め物をしたあと

H29.5月 42歳 女性

ホワイトニング前

全体的な黄ばみと、上前歯2本の茶色部分が目立って気になる

(シェード B3)

ホワイトニング後 + 詰め物

基本コース3回 + 追加2回

ホワイトニング後、上前歯の茶色部分は一層削って詰め物(粘土)をしました。

(シェード B1)

スタッフからのコメント

ホワイトニング後、色合わせの為の詰め物(粘土)のやり換え等は保険で出来ますのでお気軽にご相談くださいね!(^^)/

H29.4月 40歳 男性

ホワイトニング前

全体的に歯の根元と、特に糸切り歯(前から3番目の歯)の黄ばみが強く気になる

(シェード A4)

ホワイトニング後

基本コース3回 + 追加2回

計5回で満足されました!

(シェード B1~2)

スタッフからのコメント

とても満足され、同僚の女性社員にもお薦めしときます!…と喜んでいただきました!(^^)!

検診・歯石取り・歯のクリーニング・フッ素塗布などもご予約いただけます。3ヶ月先のご予約もお気軽にどうぞ。

092-502-3534

診療時間

 
午前
午後

午前 9:00~12:30
午後 14:00~18:30
:13:30まで

休診日:日曜・祝日

092-502-3534

〒811-1323
福岡県福岡市南区弥永1-31-13
弥永団地バス停より徒歩1分

とう歯科クリニックでは一緒に働いてくださる仲間を募集中です!