福岡市南区弥永の歯医者さんなら

〒811-1323 福岡県福岡市南区弥永1丁目31番13号

診療時間
9:00~12:30

14:00~18:30

:13:30まで

休診日:日曜・祝日と、木曜・土曜の午後

最終受付:初診の方17:30、再診の方17:45

ご予約・お問合せはこちらへ

092-502-3534

当院のホワイトニング

歯を白く、美しくしたい・・・そんな時は、ホワイトニングがおすすめです。
こちらでは、当院のホワイトニングについて説明します。

ホワイトニングにかかる費用は?回数は?かかる時間や期間は?

当院では、ホワイトニングにかかる費用は4950円×3回分=14850円(税込み)となっております。ほとんどの方が3回で満足されます。

1回あたり施術が30分程度、その前準備と施術後のしみ予防のための時間が10分程度のため、トータルで40~50分程度みて下さい。

期間は、大体一週間に1度なら2週間、最短でやる場合には3日おきに来てもらうので1週間程度です。

H26.11月 ホワイトニング

当院でホワイトニングをされた方の症例をご紹介します。

ホワイトニング前

30代女性:色は上の前歯がA2他はA4

A2:一般的な白さ

A4:黄色さが際立っている

Q&A
ホワイトニング中にしみたりしないの?

A:当院ではホワイトニングの最中に少しでもしみたらすぐに合図を送っていただき、しみている部分の薬液をぬぐいます。そうすることで、しみを抑え、一部分だけ、濃度を低くしてホワイトニングするため、再度しみることはありません。

ホワイトニング後

すべてB1に近い色になりました。

B1:一番白い歯と言われています

Q&A
帰宅してからしみたりしないの?

A:帰宅されてしみる場合もあります。

ホワイトニング後24時間は冷たいもの熱いものは極力控えてください。また、当院ではしみないように、シュミテクトのホワイトニングタイプの歯磨剤を無料で配布しております。シュミテクトを使っていただくようになってから、術後のしみの発現が減りました。

ホワイトニングの症例 

当院でホワイトニングをされた方のの事例をご紹介します。

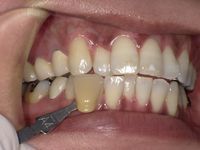
ホワイトニング前

右側の前歯が上下とも気になり来院。かなり黄色いのがわかります。

右側の写真は、ホワイトニングをする前の色がどの程度か色を確認しているところです。

ホワイトニング後

ホワイトニングを3回し終わった後の写真です。糸切り歯が奥の歯と比べても白くなっているのがわかります。もちろん、全体的にも白くなっていて、患者さんはすごく満足されていました。


しみない、痛くないホワイトニング

当院では、しみない、痛みの少ない「MIホワイトニング」をおこなっています。

ホワイトニングの痛みの種類は、歯の痛みと歯茎の痛みの2種類。どちらも、ホワイトニング剤に含まれる過酸化水素の濃度の高さが原因です。

MIホワイトニングは、特殊な薬剤を混ぜているため、過酸化水素の濃度が低め。しみない、痛みのないホワイトニングが可能です。またMIホワイトニングの薬剤には、歯茎を活性化させる効果もあります。

歯を白くしたいけど、痛むのはイヤだ・・・。そのような思いをお持ちの方のために、痛みの少ないMIホワイトニングを実践しています。気になる方は、なんなりとお尋ねください。

費用が安い

ホワイトニングをしたいけど、費用が高くてなかなか手を出せない・・・このようなお悩みはありませんか?
当院では、相場よりも安い費用でホワイトニングを行っています。

一般的なホワイトニングの相場は、上下の前歯12本で約10,000円。当院でしたら、同じプランを4950円で行っています。

低価格で提供できるのは、ランニングコストを削減しているためです。設備費や材料費を安く抑えることにより、低価格でのホワイトニングの提供が可能となっています。

当院では、こちらのホワイトニングを3回受けていただくことをおすすめしています。当院で、気軽にホワイトニングをスタートさせてみませんか?

ホワイトニングの流れ

お口の検査

お口の中を拝見し、ホワイトニングができる歯や歯茎の状態かを確認します。

歯の表面をクリーニング

歯の表面の汚れを取ります。

ホワイトニング剤を塗る

ホワイトニング剤を歯に塗ります。

光照射

ホワイトニングを促進する特殊な光線を歯に照射します。

洗浄と艶出し

ホワイトニング剤を洗い流し、歯を艶やかに磨き上げます。

検診・歯石取り・歯のクリーニング・フッ素塗布などもご予約いただけます。3ヶ月先のご予約もお気軽にどうぞ。

092-502-3534

診療時間

 
午前
午後

午前 9:00~12:30
午後 14:00~18:30
:13:30まで

休診日:日曜・祝日

092-502-3534

〒811-1323
福岡県福岡市南区弥永1-31-13
弥永団地バス停より徒歩1分

とう歯科クリニックでは一緒に働いてくださる仲間を募集中です!